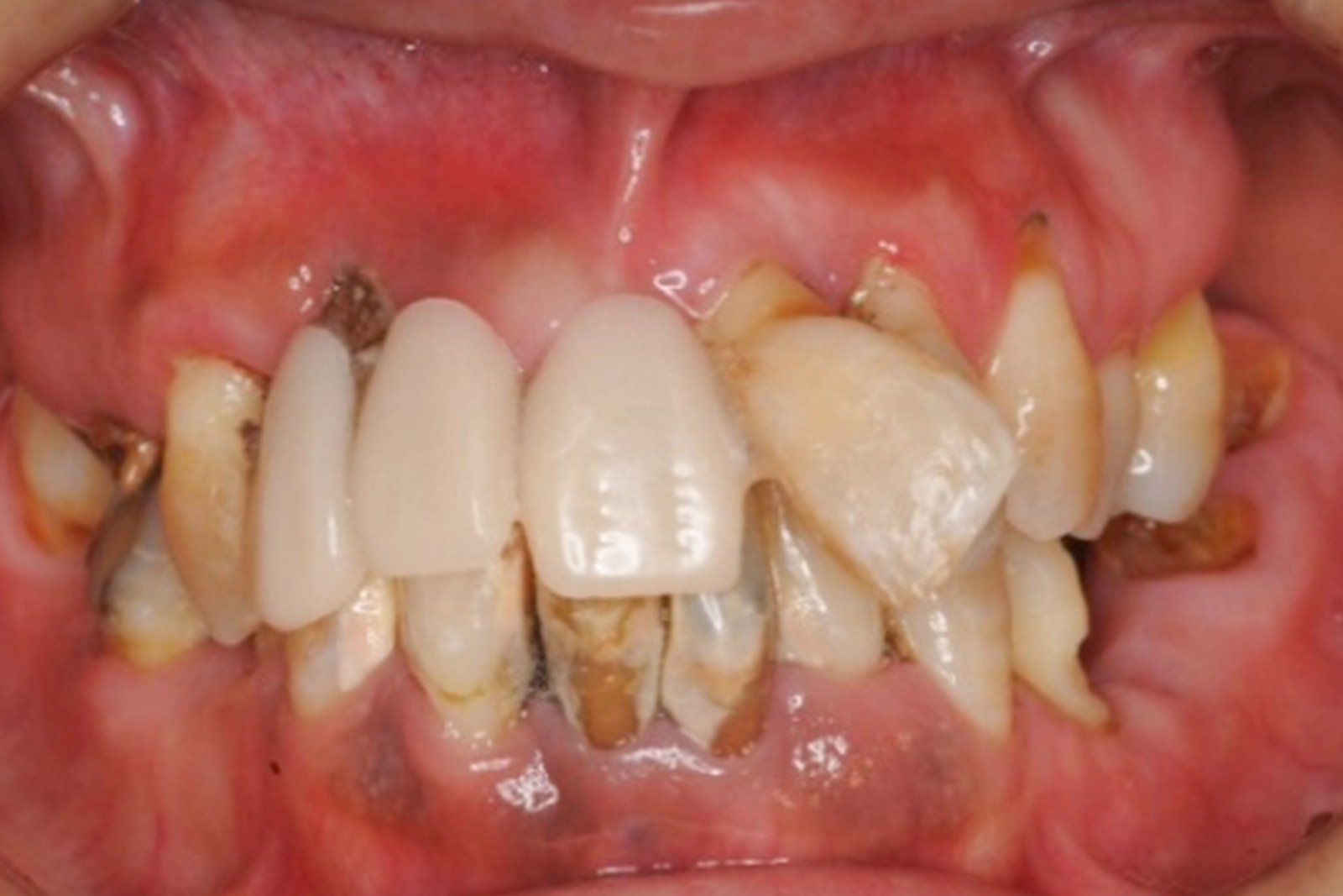
虫歯や歯周病を治療せずに放置していると、写真のように歯がボロボロの状態になってしまいます。
ここまで悪化すると、「もう、どうしようもない」と諦めてしまう方もいらっしゃいます。
ですが、決して諦めないでください。
歯科医療の進歩によって、ボロボロになった歯でも、歯の修復や機能の回復が可能になってきました。
もちろん、患者さんの自覚や努力も必要ですが、さまざまな治療によって、残った歯を守り自分の歯を使い続けることも可能です。
「以前のような健康で丈夫な歯を取り戻したい」「口元をきれいに治して、新しい人生を歩みたい」
そのような患者さんの思いに応えたいと、私たちは常に願っています。
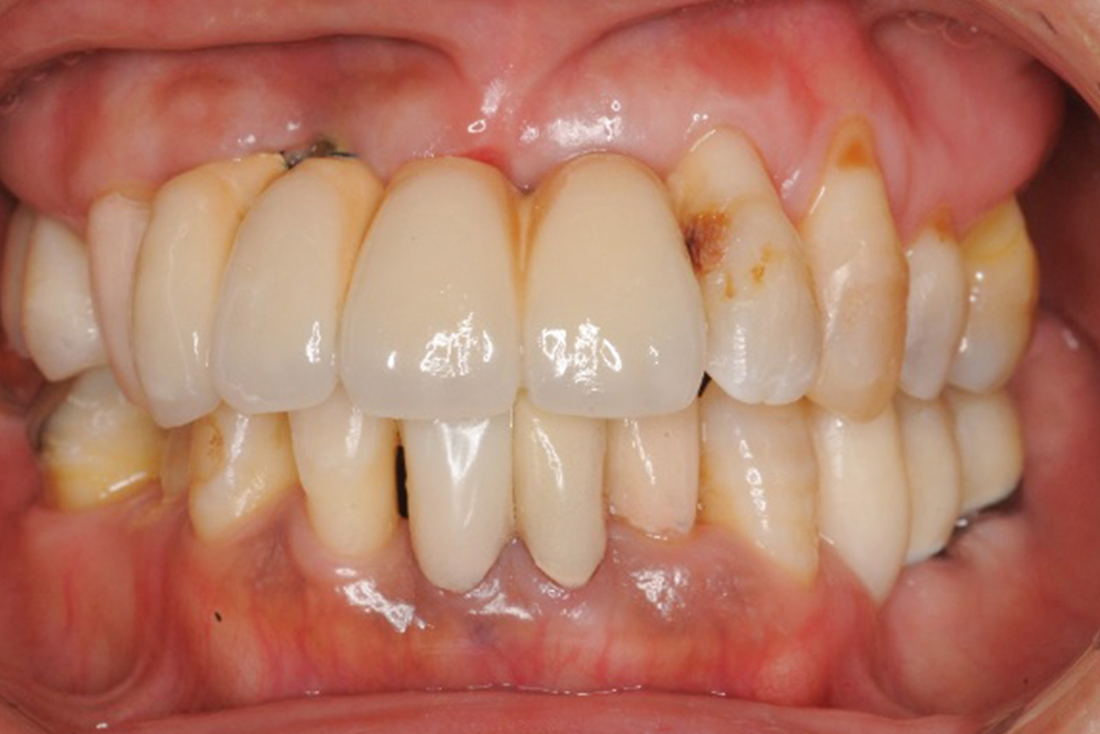
当院がこれまで、どのような症例を手がけてきたのか。その一例を紹介します。




歯や歯茎、歯を支える顎の骨までも含めた口の中全体を整える治療は非常に難しく、緻密な治療計画と確かな技術が求められます。
それは、口の中が緻密なバランスの上に成り立っているからです。少しでも、その微妙なバランスが崩れてしまうと、なんらかの問題が生じます。影響は口の中だけでなく、全身の健康にまで及ぶことがあります。
ですから、1本の虫歯の治療とは違い、歯科医師だからといって誰にでもできるわけではありません。
緻密で精度の高い治療を実現するため、当院は、先端の精密機器を駆使し、チームで歯科医療にあたります。
その取り組みを具体的に紹介しましょう。
歯がボロボロになり崩壊した口の中を改善し、見た目も整えるために、当院では歯科の各分野の専門家がチームを組み、さまざまな手法を使って治療を進めます。
患者さんに納得いただける治療を実現するため、当院では各分野の専門家が密接に連携する「チーム医療」を推進しています。それは「高度な治療を適切に提供するには1人の医師の力では限界がある」と考えているからです。
チーム医療とは、治療の工程を細分化し、それぞれの工程で別々の専門家が治療にあたるスタイルです。
日本ではまだ馴染みのない治療スタイルですが、歯科先進国の欧米ではすでに定着しています。
当院では検査や診断、治療の精度を高めるため、さまざまな機器を導入しています。医療機器の進歩はめざましく、治療に役立つのであれば、常に新しいものを取り入れていきたいと思っています。
機械にしかできないことと、人でなければできないことを融合させ、患者さんが必要とする医療を提供する。それが最も大切なことだと考えています。
デジタル技術の進歩によって、最近は撮影したものを写真ではなく、データとして出力するデジタルレントゲンが普及してきました。
従来のレントゲン撮影に比べて放射線被ばく量が少なく、データもパソコン上で濃淡を調整したり、拡大・縮小したりできるなど見やすくなっています。
さらに、当院では撮影データを三次元の立体画像として復元できる歯科用CTも導入しています。
三次元の立体画像を見れば、二次元の画像では見えなかった部分まで確認することができ、診査診断の精度が高まります。
これによって、より的確な治療計画の作成や精度の高い治療が可能になります。
マイクロスコープは歯科医療用の顕微鏡です。
患部を拡大して確認できるため、細い根管内での正確な作業が求められる根管治療のほか、セラミック治療やインプラント治療などにも活用しています。
歯科用レーザーの光は、虫歯や歯周病菌だけに反応するのが特徴です。レーザーを照射することで、器具を使った手作業では届きにくい部分まで短時間で殺菌できます。
このほか、レーザーを使って切開すると、止血や殺菌も同時に行われるので、傷の治りも早いという効果があります。
当院では、さまざまな様々な治療でレーザーを活用し、治療時間の短縮や痛みの軽減などにつなげています。
主に歯周病治療で利用しています。この顕微鏡を使うことで、現在、お口の中の菌の状態(種類、数、活動性)を確認することができ、今はどういう状態なのか、これからどういう状態になっていくのかが分かります。
この結果から治療方針を決定します。
このページを見ている方の多くは、虫歯や歯周病が進行し、口の状態がかなり悪くなってしまった方でしょう。
何か、手立てはないかと藁をもつかむ思いで、ここにたどりついたのかもしれません。
崩壊してしまった口の中の治療には、いくつかの方法がありますが、私はただ単に悪くなった歯を直し、機能が損なわれた歯を修復するだけではいけないと思っています。
大切なのは、どうして今のような状態になってしまったのか、原因を究明し、根本的な対策を講じることです。
それによって10年、20年後の歯の健康を見据えた精度の高い良質な治療が可能になるのです。
こうした考えに基づき、私をはじめ当院のスタッフは日々、治療に取り組んでいます。
残念ながら、現在の日本の歯科医院の中には、虫歯や歯周病の「原因」をしっかり突き止めず、単に悪いところを取り除いて跡を塞ぐだけの、その場しのぎの治療しか行っていないところが数多くあります。
それも1つの考え方ではありますが、根本的な原因を解決しない限り、問題は再発し、口内環境は悪化する一方でしょう。
それは、当院が目指す治療ではありません。
虫歯や歯周病が悪化する原因を見つけ、適切な対応をすることで、将来に渡って問題を回避することができます。
それが分かっていてしないのは、患者さんへの裏切り行為ではないでしょうか。
今までの歯科医療は「結果」に対してのアプローチが中心でした。
「原因」があることは、歯科医師であれば誰もが知っているはずなのですが、それを追求する人はほとんどいませんでした。
そこで私は、歯科医療について、この「原因」を徹底的に研究しました。
すると、今までの治療はただの対症療法で、なんら問題を解決していないことが明確になったのです。
また、原因を研究することで、原因を取り除かなかったときに、将来どうなるのか、という点についても正確に予測できるようになりました。
こうして、私は原因を徹底的に突き止め、原因にアプローチする治療にたどり着いたのです。
崩壊した口の中の治療は、かなり大掛かりで長期的なものになるはずです。
どうか私たちを信じてください。
そして、ともに治療に臨んでいきましょう。
原因を取り除くには、患者さんご自身の自覚と努力も欠かせません。
これから、長く自分の歯を守っていくために、私たちと一緒に頑張りませんか。
当院では、患者さんが抱えていらっしゃるお口のお悩みや疑問・不安などにお応えする機会を設けております。どんな事でも構いませんので、私たちにお話ししていただけたらと思います。
ご興味がある方は下記からお問い合わせください。
〒351-0011
埼玉県朝霞市本町2-5-23 フタバビル4階
東武東上線「朝霞駅」南口徒歩 1分
