インプラント

〒351-0011
埼玉県朝霞市本町2-5-23 フタバビル4階

048-462-2500

診療時間
10:00 ~ 13:00 /
15:00 ~ 19:00 /
  • ▲ 土、日、祝日の午後は、15:00~18:00になります
  • 休診:水曜・年末年始
キービジュアル

MENU

年間400症例以上

1歯30分で埋入
※但し、術前説明や術後説明は含みません
「ハーバード大学インプラント科」
認定医の院長がオペを担当
いたします

成功率を高める「コンピューターインプラント
万全の「衛生管理体制
世界的インプラントメーカー」を採用
1回で歯が入る」術式

世界No1のインプラントメーカー
ストローマン社に表彰されています

  • 症例
  • 症例

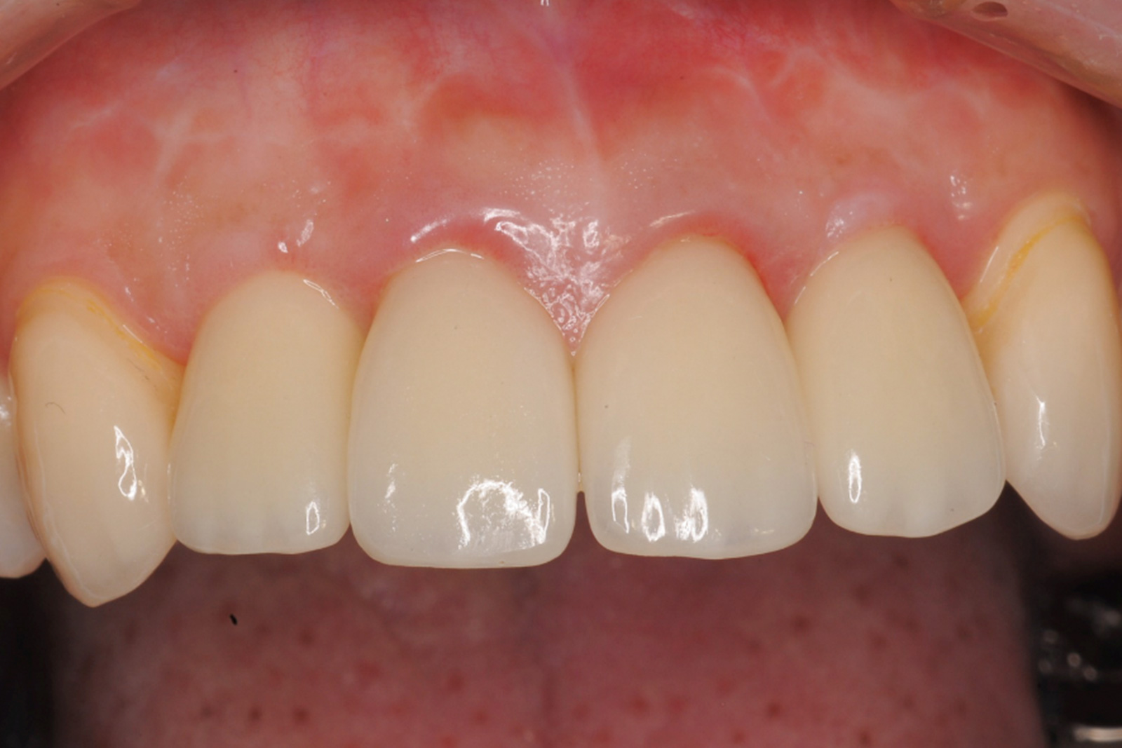
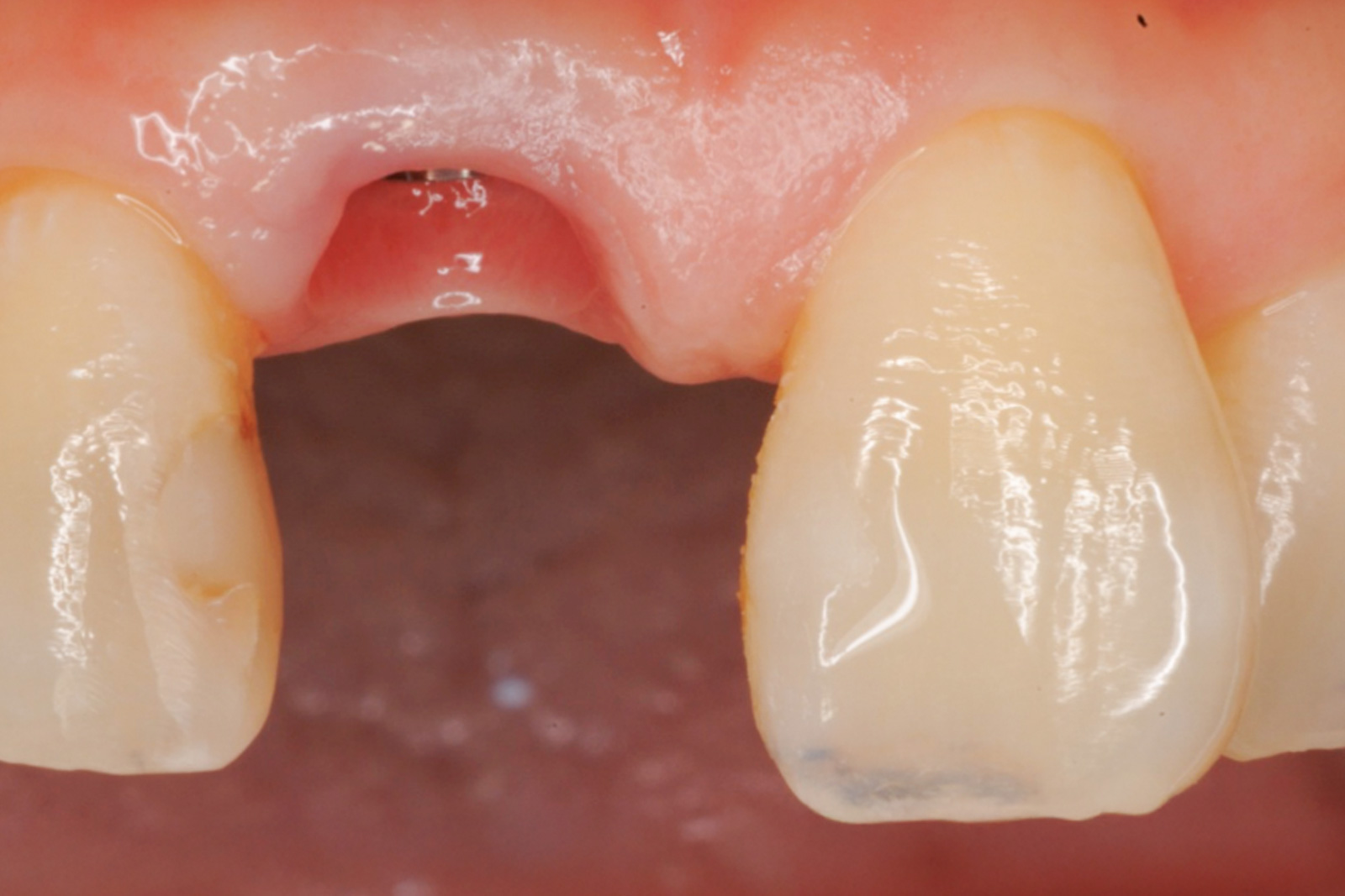
インプラント前歯症例のケース。
術後、腫れやインプラント周囲炎のリスクがあります。

  • 症例
  • 症例

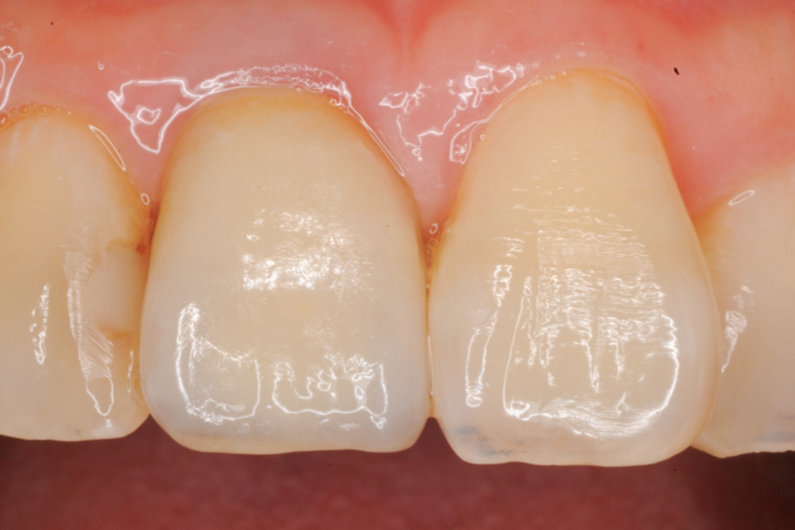
インプラント前歯症例のケース。
術後、腫れやインプラント周囲炎のリスクがあります。

  • 症例
  • 症例

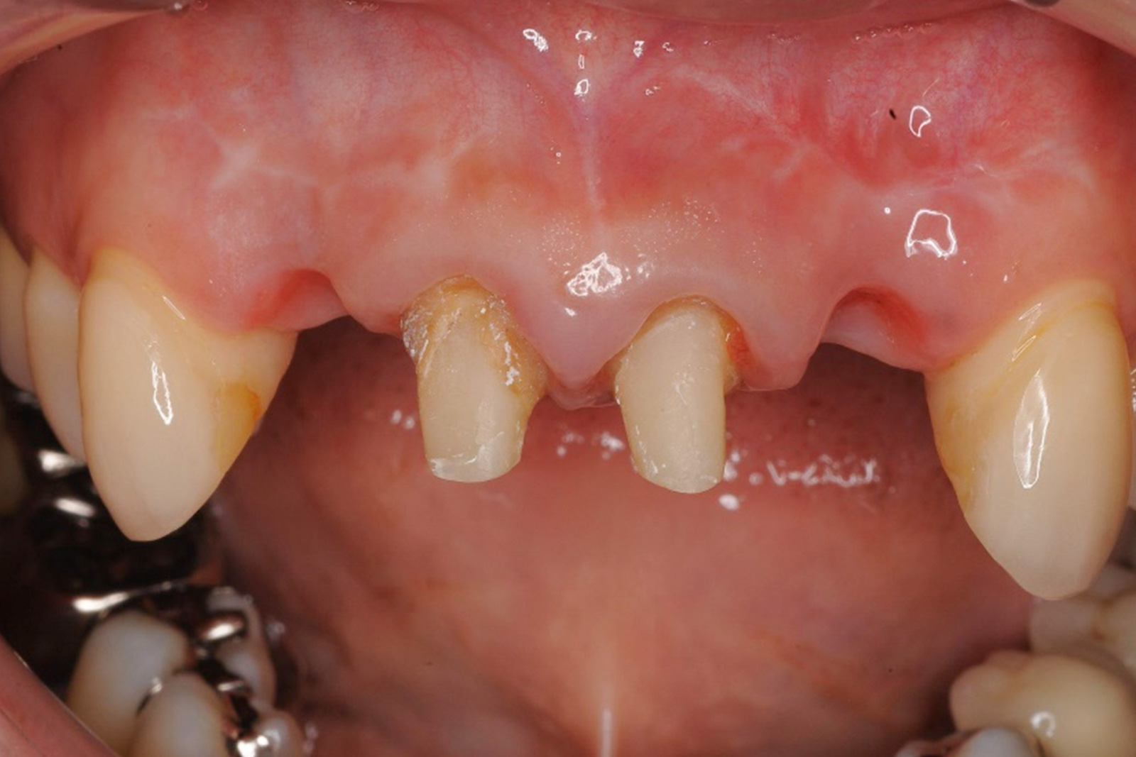
インプラント前歯症例のケース。
術後、腫れやインプラント周囲炎のリスクがあります。

  • 症例
  • 症例

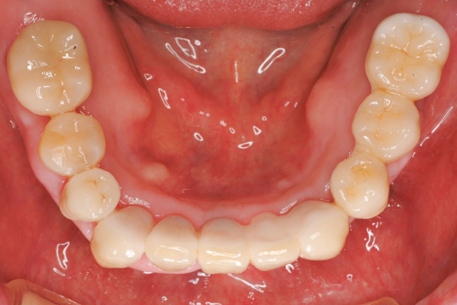
インプラント全顎症例のケース。
術後、腫れやインプラント周囲炎のリスクがあります。

インプラント無料相談

インプラント治療を安心して受けられる医院とは?

インプラント治療は外科手術をともなう治療です。
それだけに信頼できる歯科医院で治療を受けることが大切なのですが、どのように治療先を選べばいいのか、悩んでいる方も多いのではないでしょうか。

1つ目のポイントは施設や設備です。

手術をする以上、手術室があるのはもちろん、CTによる検査も欠かせません。また、しっかりとした感染予防対策がなされているか、という点も大切です。

そして、2つ目のポイントは「歯科医師の技量」です。
技量とは技術力だけではありません。
歯科医師としての経験や知識、そして治療への思いの強さをトータルしたものが技量です。

しかし、見た目だけで技量は判断できません。
患者さん本人が、歯科医師と直接会って、話をして判断するのが最も確実な方法です。

自分の技量に自信があり、患者さんの歯の健康を第一に考える歯科医師は、納得いくまで治療について説明してくれるはずです。

当院では、患者さんと担当医との信頼関係を最も重視しています。
どのようなことでも、真摯にお答えいたしますので、お気軽におたずねください。

当院のインプラント治療の特徴を紹介しましょう

当院の診療方針と医療体制について説明します。

01インプラント治療を担当するドクターの紹介

インプラント治療を担当するドクターの紹介

篠原 俊介

  • 【認定資格】 ハーバード大学インプラント科 認定医
  • 日本顎咬合学会 認定指導医
  • 厚生労働省歯科医師 臨床研修指導医
  • 【公認】 ストローマン・インプラント スピーカー

サティフィケイト

  • サティフィケイト
  • サティフィケイト
  • サティフィケイト
  • サティフィケイト
  • サティフィケイト
  • サティフィケイト
  • サティフィケイト
  • サティフィケイト

02CTやシミュレーションで成功率を高める「コンピューターインプラント」

CTやシミュレーションで成功率を高める「コンピューターインプラント」

CT検査やコンピューターのシミュレーションソフトなどを使って、人為的なミスを減らし成功率を高めるのが、コンピューターインプラントです。

CT装置

CTは、人体の内部を立体的(三次元)な画像で再現する装置です。
医療のさまざまな分野で使われているため、実際に検査を受けたことがある方も多いでしょう。

歯科用CTでは、骨の状態や神経の位置を性格に把握できます。
従来のレントゲン写真は、平面的(二次元)にしか撮影できないため、どうしても見えない部分や見落としやすい部分ができ、正確な診断が難しいケースもあります。

しかし、CTを使えば、見えない部分も正確に再現することができ、的確な診断を下せるようになります。これによって、より適切な治療法を選択できます。

シミュレーションソフト

シミュレーションソフト

シミュレーションソフトを使えば、適切な手術の方法について、何度でもシミュレーションを行うことが可能です。
歯の周辺には神経や血管がたくさん走っている部分もあり、そうした箇所での治療は慎重さが求められます。

シミュレーションソフトがあれば、事前にどのようなリスクがあるのかを把握し、具体的に解決方法を検討できます。
インプラントの埋入手術であれば、埋入する場所や向き、深さなどを詳細にシミュレーションします。

手術の正確性を高めるガイド

手術の正確性を高めるガイド

ガイドとは、インプラントを埋入する場所や角度、大きさ、長さなどの情報に基づいて作られるマウスピースのような装置です。
ガイドの作製に使われるデータは、CTとシミュレーションソフトによる分析によって得られます。

手術の際、ガイドを口に装着し、穴の開いている部分にインプラント体を埋め込めば、データ通りにインプラント体を顎の骨に埋入することができます。

03感染を防ぐ万全の滅菌体制

感染を防ぐ万全の滅菌体制

外科手術をともなうインプラント治療で大切なのは、手術中の感染予防です。このため、当院では万全の滅菌体制を構築しています。当院の滅菌体制について説明します。

DACプロフェッショナル

DACプロフェッショナル

通常の滅菌装置では洗浄が難しい、器具に付着した歯の削りカスや血液、唾液などを、隅々まで高レベルで滅菌できる装置です。
世界水準の性能を持つ高精度な滅菌システムと言っていいでしょう。

当院が採用するインプラント製品や治療法

当院が採用しているインプラント製品、治療法などについて説明します。

世界標準メーカーを採用

現在、インプラントメーカーは国内で流通している製品だけでも50社から100社あるとされ、海外でしか流通していないメーカーも含めると150社から200社にのぼるといわれます。

当院では、国内外の歯科医師から高い評価を受けているインプラント製品を厳選して採用しています。

ストローマン

世界シェア第1位のインプラントメーカーで、世界70カ国以上で使われています。

スイスのベルン大学が10年かけて行った臨床研究によると、手術の成功率が約97%残存率が約98%という結果が出ました。多くの歯科医師から高い信頼を得ています。

睡眠無痛治療「静脈内鎮静法」

睡眠無痛治療「静脈内鎮静法」

インプラントの手術は、全身麻酔ではなく局所麻酔で行います。
局所麻酔でも、手術中に痛みを感じることはありませんが、緊張や不安、恐怖などで強いストレスを覚え、治療を受けられなくなる方もいらっしゃいます。

そのような場合、「静脈内鎮静法」という麻酔法を局所麻酔と併用します。
静脈内鎮静法とは、鎮静薬を血管内に注入する方法で、患者さんはリラックスした状態になります。

このため、緊張や不安を感じることなく手術を受けることができ、多くの患者さんは「気づいたら手術が終わっていた」という感覚を得られます。

全身麻酔に比べて体への負担は少なく、副作用や後遺症の心配もほとんどありません。

新たな総入れ歯の形「All-on-4」とは

All-on-4」とは、4本のインプラント体を埋入し、それで総入れ歯を固定する方法です。
従来の総入れ歯とは違い、歯茎に密着して固定されるので、しっかり食べ物を噛むことができます。

また、治療をした日に入れ歯を装着できるのも特徴です。

All-on-4のメリットについて紹介しましょう。

・1本ずつインプラントにするより費用的にも肉体的にも負担が軽減される
・治療日当日に入れ歯を装着できる
・総入れ歯のような取り外しが必要なく、歯茎の上に固定される

しかし、どんな患者さんでもできるわけではなく、口の中や全身の状態によって治療できないケースもあります。
総入れ歯が合わない、もっとしっかり噛みたい、などお悩みの方はAll-on-4で改善できる可能性があります。
まずはお気軽にご相談ください。

1日で歯が入る「即時荷重インプラント」

1日で歯が入る「即時荷重インプラント」

通常のインプラント治療では、埋入手術から仮歯を装着するまで数カ月の安静期間が必要です。
しかし、「即時荷重インプラント」という方法を使えば、抜歯してインプラント体を埋入した後、すぐに仮歯を装着できます。

インプラント手術の後、歯のない期間をなくすことができる画期的な治療法といえるでしょう。

この治療法では、抜歯後にすぐインプラント体を埋入するため、歯茎の切開が不必要で、治療期間も短縮されます。
従来のインプラント治療では最終的に歯を装着するまで9カ月から1年ほどかかっていましたが、「即時荷重」では3カ月から4カ月ほどで治療が終了します。

しかし、すべてのケースで対応できるわけではなく、顎の骨の状態によっては、通常のインプラント治療が必要になることがあります。
新しい治療法ですので、適用の可否の判断を含め、手術が成功するかどうかは歯科医師の技術や経験に左右されます。
治療を受ける前には、しっかり歯科医師と相談しましょう。

他院で「インプラントはできません」と判断された方もご相談ください

インプラントは外科手術が必要な治療法ですから、口の中の状態だけではく、全身の健康状態によって「インプラントはできない」と判断されることがあります。
しかし、インプラントの症例数が増え、研究が進む中、従来は治療ができなかった方でも治療ができるようになってきました。
他院で断られたからとあきらめず、当院に一度ご相談ください。

糖尿病や心臓病など基礎疾患のある方

糖尿病や心臓病、高血圧などの基礎疾患がある方は、インプラントを断られることがあります。
以前は、基礎疾患があると手術のリスクが高くなると考えられていたため、断る歯科医院も多かったようです。

しかし近年は、専門医による症状のコントロールが行われていれば、手術方法を工夫しながらインプラント治療が可能なケースもあります。

当院では、内科医の専門的な意見や判断も仰ぎながら、治療の提案をいたします。
他院で断られた方でも、設備や治療体制によっては可能な場合もありますので、一度当院にご相談ください。

骨が少ない、幅が薄い方

インプラント治療では義歯の土台となるインプラント体を顎の骨に埋入するため、骨が少なかったり、薄かったりすると断られてしまうことがあります。
しかし、近年は骨の量を増やす「骨造成」の技術が確立されたことで、「骨が少ない」、「骨が薄い」といった患者さんも治療が受けられるようになりました。

骨造成は高度な技術が必要です。
当院には骨造成にも対応できる設備や経験豊富なスタッフが揃っており、よほどの難症例でない限り治療が可能です。

当院では、骨造成を行った場合の治療期間は約4ヵ月程度です。
骨造成が不要な場合は約2ヵ月で治療が可能です。

骨が少ない、幅が薄い方

インプラント周囲炎に注意を

せっかく埋入したインプラントも、治療後のケアが悪いと数年後に脱落してしまうことがあります。
その原因の多くは、インプラント周囲炎です。

インプラント周囲炎は、「歯周病」と同様、細菌によってインプラントの周囲が炎症を起こし、骨が溶けてしまう病気です。
予防するには、インプラント治療後もしっかりと歯磨きなどのケアを行い、歯科医院で定期的なメンテナンスを受ける必要があります。

インプラント周囲炎に注意を

しかし、インプラント治療を受ける方の多くは、口のケアをする習慣がないために虫歯や歯周病で歯を失ってしまった方です。
そのため、インプラントを長持ちさせるためには、これまでの食生活の改善や歯のケアの徹底も必要です。

当院では治療前治療後にインプラント周囲炎の原因や症状について再三お伝えし、その対策の指導も行っています。

最後に:院長からメッセージ

歯を失った際の対応策には「入れ歯」や「ブリッジ」という方法もありますが、歯の機能性や見た目の美しさを重視するのであれば、最も適しているのがインプラントです。
インプラントにもデメリットはありますが、「入れ歯」や「ブリッジ」のメリット・デメリットを考えると、インプラントの利点は欠点を補って余りあると言えるでしょう。

インプラントのメリットは、なんといっても「自分の歯のようにしっかり噛める」「他の歯にダメージを与えない」の2点。他の治療法では、こうはいきません。

確かにインプラント治療は費用が高額で、手術による体への負担に配慮する必要があります。
しかし、それによって得られるメリットはとても大きなものです。

自分にとってベストな治療法」を選択するため、インプラントについても正しく理解していただきたいと思います。
私たちもできるだけ分かりやすくお伝えできるよう努めていきます。

初診「個別」相談へのご案内

当院では、患者さんが抱えていらっしゃるお口のお悩みや疑問・不安などにお応えする機会を設けております。どんな事でも構いませんので、私たちにお話ししていただけたらと思います。
ご興味がある方は下記からお問い合わせください。

電話での問い合わせ

048-462-2500

医院住所

〒351-0011
埼玉県朝霞市本町2-5-23 フタバビル4階

TIME 診療時間

電話での問い合せ

048-462-2500

診療時間
10:00 ~ 13:00 /
15:00 ~ 19:00 /
  • ▲ 土、日、祝日の午後は、15:00~18:00になります
  • 休診:水曜・年末年始

ACCESS アクセス情報

医院住所

〒351-0011
埼玉県朝霞市本町2-5-23 フタバビル4階

東武東上線「朝霞駅」南口徒歩 1分

このページの先頭に戻る